Vol. 25 No. 3 (2025): July - September

Published: 2025-09-30

Review Articles

  • CLIAREM Model: A novel framework for postgraduate medical education in Sub-Saharan Africa

    Taoreed Azeez
    973 - 989
    DOI: https://doi.org/10.71637/tnhj.v25i3.1094
  • Migrant Construction Workers Health Seeking Behavior in India- Literature Review

    Ajoke Akinola, Anil Kumar Indira Krishna 
    1088 – 1100
    DOI: https://doi.org/10.71637/tnhj.v25i3.1142

Original Articles

  • Effectiveness of Castor Oil in Preventing Formal Induction of Labour at a Tertiary Institution: A Randomized Controlled Trial

    Ifeoma C. Uche-Omovoh, Assumpta N. Nweke, Obiora Asiegbu, Uzoma E. Onwukwe, Chinomnso S. Marcel-Onwudiwe, Chukwudi O. Oru, Arinze Ikeotuonye, Amuchechukwu Nwafor, Chidi O. U. Esike, Odidika U. J. Umeora 
    943 – 952
    DOI: https://doi.org/10.71637/tnhj.v25i3.1043
  • How well do female healthcare professionals in Southern Nigeria know about Cervical cancer and use its screening services? A Cross-sectional survey.

    Ulunma Ikwuoma Mariere, Loveday Abuchi Okpara, Stella Ufuoma Rotifa, Artemie Gordon, Perpetual Ogechukwu Nwankwo, Joanna Tonebimonyo Wagio 
    960 - 972
    DOI: https://doi.org/10.71637/tnhj.v25i3.1088
  • COVID-19 Vaccine Hesitancy and Uptake Among Nigerian University Students: A Case Study of ABU Zaria

    Halimatu Abdullahi, Japhet Haruna Jona, Mohammed Ibn Abdullahi
    990 – 1003
    DOI: https://doi.org/10.71637/tnhj.v25i3.1113
  • Pattern of Sexually Transmitted Infection Cases at a Tertiary Health Facility in Rivers State, Nigeria: A Cross-Sectional Study

    Vivian Ifeoma Ogbonna, Barinem Mary Dimkpa, Taagbara Jolly Abaate, Modupe Oyadotun , Celine U. Osi, Chijianyam G. Osuagwu, Ada P. Ugorji, Chika U. Agogbuo, Lisa Orianwo, Salome Ikechi-Otamiri, Foluke Adeniji
    1004 – 1013
    DOI: https://doi.org/10.71637/tnhj.v25i3.1117
  • Psychological Health of Undergraduate Medical Students and Its Associated Factors in A Tertiary Institution, South-South, Nigeria.

    Ehimemen S. Aigbokhaevbo, Antoinette N. Ofili
    1014 – 1024
    DOI: https://doi.org/10.71637/tnhj.v25i3.1118
  • Philos Plating for Proximal Humeral Fractures: Outcome of 41 Consecutive Fixations

    Diamond Tamunokuro, Orupabo Furo, Ayoko Utavie 
    1025 – 1031
    DOI: https://doi.org/10.71637/tnhj.v25i3.1119
  • Upper Gastrointestinal Endoscopy in Abuja, North-central Nigeria: A 5-Year Institutional Review of Indications and Pathological Outcomes

    Michael Ehienagudia Aghahowa, Iliya Karliyus Salu, Okundayo Emuze, Sule Ahmed, Muslimat Ajibola Alada, Sunday Ikeyah Atinko
    1032-1038
    DOI: https://doi.org/10.71637/tnhj.v25i3.1121
  • Menstrual Hygiene Management Practices and Associated Factors Among Female Adolescents in Amai Secondary School, Delta State, Nigeria

    Christabel Nneka Ogbolu, Lydia Ifeoma Agbasimiere, Justice Iyawa, Loveth Onuwa Okololise, Anthonia Onyenibe Okwelum, Otovwe Agofure, Browne Chukwudi Okonkwo, Richard Akinola Aduloju, Tobechukwu Okafor
    1039 - 1046
    DOI: https://doi.org/10.71637/tnhj.v25i3.1124
  • Awareness of the Violence Against Persons Prohibition Law and its Association with Female Genital Mutilation Prevalence among Youths in Oyigbo, Rivers State

    Vivian I. Ogbonna, Chidinma Opara, Carol B. Joseph, Nneka Okongwu, Bademosi Adetomi
    1047 – 1057
    DOI: https://doi.org/10.71637/tnhj.v25i3.1127
  • Influence of Social Media on Patients’ Perception of Healthcare Services in Afe Babalola University Multisystem Hospital, Ado- Ekiti, Ekiti State

    Risikat I Fadare, Oluwadamilola W Ayorinde, Gbemisola B Ogbeye, Cecilia B. Bello, Oluwafunmilayo E. Fadare, Zuliahat Abdulkadir, Oluwayemisi B. Oladipo
    1058 – 1068
    DOI: https://doi.org/10.71637/tnhj.v25i3.1128
  • Use of Mobile Applications for Magnetic Resonance Imaging (MRI) Safety Screening: An Acceptability Study Utilizing Technology Acceptance Model (TAM)

    Azizah Ab Ghani, Wai-Hun Cheah , Myat Moe Thwe Aung, Norhasiza Mat Jusoh , Husbani Mohd Amin Rebuan , Mohd Salami Ibrahim
    1069 – 1077
    DOI: https://doi.org/10.71637/tnhj.v25i3.1132
  • Interconnectedness between Corporate Governance, Global Burden of Disease, SARS-CoV and Banking Sector Development in Nigeria: The Role of Institutional Quality

    Charles O. Manasseh, Chine Sp Logan, Deborah Ngozi Umah, Ginikachukwu S. Richards, Ikechukwu H. Iheukwumere , Chidiogo M. Iheukwumere, Obiageli G. Akamobi, Ijeoma B. Unachukwu
    1286 – 1294
    DOI: https://doi.org/10.71637/tnhj.v25i3.1139
  • Health-seeking behaviour of traders: a case study of three markets in Uyo, Akwa Ibom State.

    Ofonime Johnson , Emmanuel E. Gabriel, Ubong P. Edem, Edinyanga S. Emmanuel, Uko O. Umoh, Jeremiah E. Asuquo, Tare F. Oyighan, Dianabasi E. Bassey, Grace C. Ene-Peter
    1078 – 1087
    DOI: https://doi.org/10.71637/tnhj.v25i3.1140
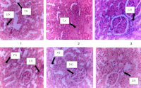
  • Ameliorative Effects of Supplements of Papaya Seed, Watermelon Seed, and Clove buds on Testosterone-DMBA Induced Prostate Cancer in Wistar Rats: Oxidative Stress, Inflammation, and Histological Analysis

    Karimah Mohammed Rabiu, Lawal Nura, Ganiyu Ibrahim Aderounmu
    1106 – 1124
    DOI: https://doi.org/10.71637/tnhj.v25i3.1150
  • Development of Smart IoT-based Device for Effective Health Vital Signs Monitoring

    Anthony I. Otuonye, Nkechi F. Esomonu, Emmanuel Chukwu, Chukwudi Ohanuma, Chilaka E. Nwaimo, Patricia Onyechere, Emmauel C. Enyia, Michael O. Umebali, Chioma U. Iroh
    1125 – 1133
    DOI: https://doi.org/10.71637/tnhj.v25i3.1153
  • Transient Autonomic-like Symptoms During Clinical Exposure: A Cross-Sectional Study Among Nigerian Health Workers and Trainees

    Dumle Jane Alerechi-Ogbugo, Alerechi Emeka-Ogbugo , Muhammad M. Makusidi, Ibiso Bruce
    1134 - 1142
    DOI: https://doi.org/10.71637/tnhj.v25i3.1154
  • Children with Special Needs: Parents Perception and Coping Mechanism

    Phoebe Nwamaka Kanikwu, Joyce Ifeoma Isichei
    1143 – 1152
    DOI: https://doi.org/10.71637/tnhj.v25i3.1158
  • Quality of Life and Psychological Comorbidities in Adolescents with Epilepsy in Nigeria: A Comparative Cross-Sectional Study

    B. H. Soile, Olusola O Adebisi, A. K. Bakare, M. A. Adeniyi, R. O. Lawal, A. S. Adediran, I. O. F. Dedeke, F. E. A. Lesi
    1153 – 1164
    DOI: https://doi.org/10.71637/tnhj.v25i3.1159
  • Pruritus and its Impacts on Quality of Life of Citizens of Ejigbo Osun State, South West Nigeria: A Cross- Sectional Study

    Michael G. Israel, Patience O. Akinwusi, Opeyemi O. Oni, Abiona O. Odeyemi, Oluwabukola A. Ala, Oluwaseyi K. Israel, James I. Owolabi, Joel O. Akande
    1165 – 1176
    DOI: https://doi.org/10.71637/tnhj.v25i3.1160
  • Healthcare Providers’ Reports of Encounters with women with Cryptic Pregnancies and HIV status of Acquired babies in Southeast Nigeria

    Maria-Lauretta C. Orji, Oluchukwu C. Oyim-Elechi, Kosolu Y. Okiche, Michael O. Orji, Ezinne S. Agbo, Anulika C. Nwobi, Nnamdi B. Onyire
    1177 – 1185
    DOI: https://doi.org/10.71637/tnhj.v25i3.1161
  • Barriers to the Use of Antiretroviral Therapy Among HIV-Positive Pregnant Women in Awka, South-East Nigeria.

    Ukwubile Edward Egwuaba, Blessing Adeyi Sunday
    1186 – 1196
    DOI: https://doi.org/10.71637/tnhj.v25i3.1163
  • Maternal Satisfaction with Routine Immunization Services at a Tertiary Healthcare Facility in Ekiti State, South Western Nigeria: A Cross-Sectional Study

    Abdulfattah Isa, Adeniyi Makinde Adebayo, Adewoye Kayode Rasaq, Tope Ipinnimo, Olusegun Omotayo Adebisi, Ayotunde Sherif Azees
    1197 – 1205
    DOI: https://doi.org/10.71637/tnhj.v25i3.1164
  • Proficiency, Facilitators and Barriers to Computer-Based Examination among Postgraduate Students at the University of Port Harcourt

    Onwuagbaizu Ebele, Daprim Samuel Ogaji
    1206 – 1217
    DOI: https://doi.org/10.71637/tnhj.v25i3.1166
  • Epidemiology, Clinical Profile and Management Outcome of Fourniers Gangrene in a Tertiary Teaching Hospital

    Ehiremhen Ozah, Emmanuel Osaro Osaigbovo
    1218 – 1228
    DOI: https://doi.org/10.71637/tnhj.v25i3.1169
  • Comparative Retrospective Review of Survivor and Perpetrator Profiles in Two Nigerian Sexual Assault Referral Centres: Implications for Policy and Protection

    Oluwajimi Olanrewaju Sodipo, Sekinat Odunaye-Badmus, Adejumo Olusola
    1229 – 1236
    DOI: https://doi.org/10.71637/tnhj.v25i3.1172
  • Characterization of anthropometric parameters, lumbar flexibility and quadriceps angle of adult female users of high-heeled shoes in Calabar, Cross River, Nigeria.

    Saturday N. Oghumu, Mary-Ann O. Esezobor, Ruth O. Nicholas, Peter A. Awhen, Anne U. Orobosa, Eguagie Okhuahesuyi, Kenneth A. Madume, Kayode I. Oke
    1237 – 1247
    DOI: https://doi.org/10.71637/tnhj.v25i3.1176
  • Depressive Symptoms and Self-Esteem in Moroccan School Children: Public Health Implications from a Cross-Sectional Study

    Imane Jaghror, Mohammed El Aameri, Hafida Jaghror, Zakaria Abidli, Leila Bikjdaouene
    1248 – 1257
    DOI: https://doi.org/10.71637/tnhj.v25i3.1179
  • Users’ Satisfaction with Wheeled Mobility Assistive in Kinshasa and Goma, Democratic Republic of Congo

    Mabanza M. M., Biwata M. B., Lofuta O. V. P., Nzinga L. A-M, Tshongo K. H., Ntsambi EG, Buhendwa R. A., Nkakudulu B. K. H.
    1258 – 1267
    DOI: https://doi.org/10.71637/tnhj.v25i3.1180
  • Knowledge, Attitudes, and Practices of AI-Assisted Diagnostics Among Students of Master of Public Health in Ahmadu Bello University, Zaria, Nigeria

    Danladi Sam Samuel, Japhet Haruna Jonah, Gabriel Samuel, Ijuptil Amos, Regina Chimsom Eche, Ali Kime Makinta, Hadiza Musa
    1268 – 1275
    DOI: https://doi.org/10.71637/tnhj.v25i3.1187
  • Knowledge of Breast Cancer and Practice of Breast Self-Examination Among Female Students at Federal College of Education (Technical) Asaba, Nigeria

    Ekeneam Nkadi Omo, Alphonsus Rukevwe Isara
    1276 – 1285
    DOI: https://doi.org/10.71637/tnhj.v25i3.1204

Case Report and Series

  • Uterine Didelphys: A Rare Anomaly Unveiled at Repeat Caesarean Section in A Multiparous Woman at Term

    Idowu Pauline Ogunlaja, Musa Olatunji Abdullahi, Adeola Olasinde, Ajoke Aminat Oladipo, Zainab Ajoke Abdulkadir
    1101 – 1105
    DOI: https://doi.org/10.71637/tnhj.v25i3.1145

Abstracts